
Studio Medico Dentistico Obino:
Sbiancamento Dentale Rapido
Ti piacerebbe dare una nuova luce al tuo sorriso ma senza un effetto sbiancante esagerato?
Lo Sbiancamento Dentale Rapido Professionale
è quello che fa per te!
L’applicazione dura pochi minuti, è molto semplice ed indolore e l’effetto ti sbalordirà!
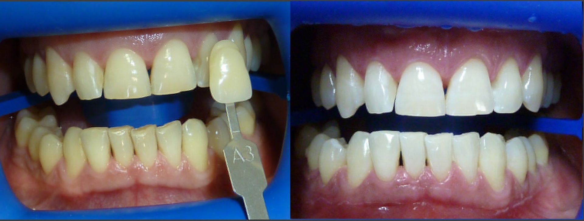
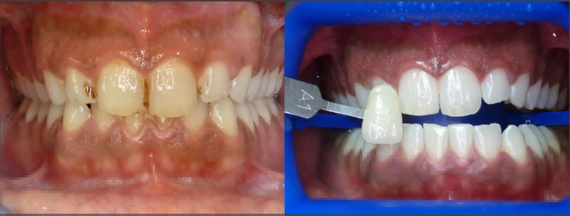
Il trattamento prevede l’uso di agenti sbiancanti professionali ma in bassa percentuale: per questo motivo il trattamento non richiede l’utilizzo della diga, non provoca sensibilità e l’applicazione è molto veloce. L’applicazione viene eseguita immediatamente dopo la seduta di igiene orale professionale e la lucidatura, ed è proposta ad un costo davvero sorprendente!
È un trattamento sbiancante post igiene, rapido ed efficace nato per te che cerchi una soluzione pratica e veloce per ottenere un sorriso ancora più bianco dopo la pulizia dei denti.
Ti bastano solo 10 minuti e un budget di poche decine di euro per ottenere un risultato sorprendente e donare ai tuoi denti un aspetto più luminoso!
Inoltre è l’ideale per avvicinarsi allo sbiancamento dentale, anche per chi teme un’eccessiva sensibilità, in quanto è di sicuro il trattamento più delicato che esista:
- utilizza una bassa concentrazione di perossido di carbamide (16%)
- non richiede la protezione gengivale
- dura solo 10 minuti
Studio Obino: il tuo dentista
Come agisce
Miscelando i due componenti, sbiancante e attivatore, il gel ti sarà applicato sui denti e irradiato con un’apposita lampada a luce blu per 10 minuti.
Grazie alla sua speciale formulazione e sfruttando l’energia luminosa, l’ossigeno sviluppato non verrà disperso all’esterno (il gel si gonfia), ma rimarrà intrappolato nel gel e veicolato totalmente verso lo smalto, massimizzando l’azione sbiancante.
Grazie al suo specifico meccanismo di azione, il trattamento offre uno sbiancamento efficace utilizzando una bassa concentrazione di perossido d’idrogeno.
Infatti non disidrata lo smalto e non provoca sensibilità e non contiene agenti desensibilizzanti e rimineralizzanti.
Chiedi informazioni al nostro igienista e ogni volta che fai la pulizia dei denti, avrai un sorriso bianco e luminoso con la semplicità di un click!
Il trattamento effettuato presso lo studio medico dentistico Obino
è uno sbiancamento cosmetico conforme alla Direttiva 2011/84/EU.



